进入2009年12月份,我院神经外二科创下了在1周内完成了3例三甲医院甲级指标手术病例,并且每日开展2例开颅手术的喜人局面,为2009年划上完美句号。同时也为我院创三级甲等医院评审工作夯实了临床技术基础。
病例一

患者,张某,男性,34岁。以“进行性右耳听力下降伴行走不稳3月余”之主诉入院。头颅MRI提示:斜坡、右侧岩斜区及桥小脑角占位性病灶,桥脑延髓2/3受挤压变薄,诊断为:巨大皮样囊肿。入院后在全麻下乙状窦后小骨窗开颅,占位性病灶切除术,显微镜下全切肿瘤。由于进行了有针对性的充分的术前准备,预防了术后灾难性术后脑干反应并发症、以及无菌性脑膜炎等的发生,术后患者恢复良好。
病例二


患者,陈某,男性,53岁。以“突发意识障碍6小时”入院。入院头颅CT提示:右顶枕叶脑内血肿,纵列池血肿。由于患者既往无高血压病史,高度考虑脑血管动静脉畸形(AVM)破裂出血,患者病情危急。为确诊病因,挽救患者生命,介入科、麻醉科工作人员放弃周日在家休息的时间,和神经外科医生一起在介入科进行插管全麻下数字减影全脑血管造影术。脑血管造影术证实:右侧顶枕叶胼胝体体部后AVM。全人员马不停蹄,在保留气管插管下转入手术室,急诊行右顶枕叶脑内血肿清除术和AVM切除术。由于术前明确了供血血管和引流静脉走向后,成功完成AVM切除术和脑内血肿清除术,术后患者意识好转,恢复良好。
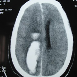
病例三

患者李某,女性,40岁。以“头痛进行性加重1月”入院。入院头颅CT提示:右额叶胼胝体视丘下部巨大占位性病灶。入院后在全麻下行右额入路占位性病灶切除术,显微镜下全切肿瘤。术后无视丘下反应等并发症出现,术后患者恢复良好。(宣传中心)