关注患者安全 提升护理质量——二一五医院举办导管固定工作坊培训
为了加强各种管路规范化管理,降低非计划拔管发生率,促进护理质量持续改进。8月30日下午,二一五医院护理部举办导管固定工作坊活动,各科室护士长及导管联络员参加培训。 护理部主任李丽萍针对本年度管路滑脱护...
为了加强各种管路规范化管理,降低非计划拔管发生率,促进护理质量持续改进。8月30日下午,二一五医院护理部举办导管固定工作坊活动,各科室护士长及导管联络员参加培训。 护理部主任李丽萍针对本年度管路滑脱护...
为提升医疗服务质量,促进患者快速康复,二一五医院骨五科(小儿骨科·创伤骨科)团队不断提升业务能力,加强与各学科业务交流,努力为患者提供优质医疗服务。 84岁的陈大爷在家不慎摔倒导致左侧股骨粗隆间骨折...
2023年8月24日,国家自然科学基金委公布2023年国家自然科学基金集中申请项目评审结果,由陕西核工业二一五医院参与、电子科技大学主持的基于弥散磁共振的脑功能研究项目申请成功获批(项目批准号62371107)。 ...
8月30日,经过两个月的理论及实践学习,咸阳市第一期糖尿病专科护士培训班的34名学员全部完成结业答辩,顺利结业。 从专科理论到护理质量提升,从专业技能到科研论文,从信息人文到护患沟通,从经验交流到前沿...
7月1日—8月31日,由咸阳市卫健委主办,陕西省核工业二一五承办的咸阳地区血液净化专科护士培训班顺利举办。来自咸阳地区22家医院的血液净化护理骨干31人参加了培训。 本次培训班为期两个月,采取理论授课、...
经过2个月紧张而充实地学习,8月30日,由咸阳市卫健委主办、陕西省核工业二一五医院承办的第一期血液净化、糖尿病专科护士培训班的64名学员圆满结业,如期迎来结业典礼。二一五医院副院长张小弟、沈乃营出席并向...
董女士今年51岁,去年2月份开始,董女士开始出现左下肢无力症状,以为是劳累所致,并未在意,今年2月份,董女士相继出现腰痛、左脸肿胀,到7月份,董女士腰痛、双侧臀部疼痛加重,口服止痛药效果不佳,夜间甚至无...
8月25日上午,二一五医院儿保门诊邀请陕西省人民医院张晓燕主任医师,对身材矮小、性早熟、肥胖等发育异常儿童进行了义诊。 儿保门诊工作人员提前3周进行了大量就诊患儿的骨龄测评及矮小、早发育儿童筛查工作...
为使新入职职工尽快适应工作岗位、感受医院文化、掌握相关规章制度、增强工作使命感和责任心。8月21日-24日,二一五医院对新入职的40余名医生、技师进行了全面、系统的岗前培训。 本次培训主要由医务部、质控部...
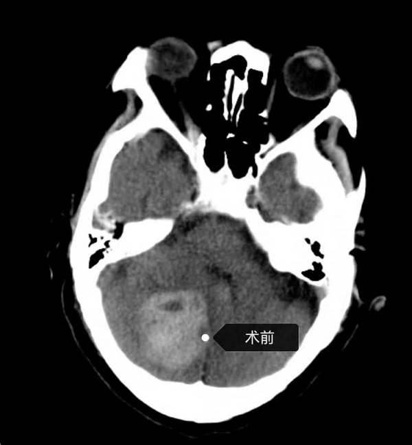
相对于大脑出血,小脑出血往往来的更凶险,小脑出血后很容易诱发枕骨大孔疝压迫脑干导致心跳、呼吸骤停等生命体征不稳定情况发生,进展非常迅速,甚至前一分钟还相谈甚欢,后一分钟就陷入昏迷,因此抢救时间也更...