据调查,全球每年有近20万例新发子宫内膜癌。子宫内膜癌与卵巢癌及宫颈癌并列为导致女性死亡的三大常见生殖系统肿瘤,严重威胁着女性的健康。
近日,陕西省核工业二一五院妇科成功完成了一例极具挑战性的巨大腹主动脉旁转移淋巴结切除术,为一名子宫内膜恶性肿瘤患者带来了生的希望。此例手术的成功,不仅展示了我院妇科医疗团队的高超技术和卓越实力,也为类似疾病的治疗积累了宝贵的经验。
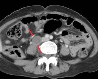
患者王女士因“阴道不规则出血并自扪及下腹部包块”到二一五医院妇科检查治疗。入院后,科室医护团队积极完善相关检查,结合子宫内膜诊刮病理结果、盆腔增强 MRI结果及其他相关检查,初步诊断为子宫内膜恶性肿瘤。进一步检查发现,王女士的盆腔包块已达到13cm,影像学检查提示有多发淋巴结转移,病情复杂,较为严重。


面对棘手的病情,妇科团队没有退缩,迅速组织普通外科、病理科、手麻科等科室专家进行MDT讨论,认真研究、分析病情,并为王女士制定出了详尽、完善的手术方案。在完善相关检查并排除手术禁忌后,任主任团队按计划为其进行了经腹全子宫双附件+盆腔淋巴结+腹主动脉旁淋巴结切除术。手术过程中,发现膀胱有肿瘤的侵犯,于是同时行膀胱肿瘤病灶切除+膀胱修补术+肠管表面病灶切除术。

手术远比预想的要困难,术中发现,王女士的盆腔包块较大且伴有盆腔粘连,这大大增加了手术的难度和风险,而腹主动脉旁两枚2.5cm左右的增大淋巴结紧贴人体最重要及最粗血管之一的腹主动脉,分离过程犹如在刀尖上跳舞,必须十分谨慎,一旦动脉破裂,大出血、致命的危险将瞬间降临。任主任团队临危不惧,沉着冷静,凭借着丰富的经验、精湛的技术和顽强的毅力,顶住了巨大的压力和风险,在手术中小心细致地分离出转移增大的腹主动脉旁淋巴结,经过5个小时的紧张奋战,成功地完成了这一高难度的手术操作。
术后王女士病理结果显示:中-低分化子宫内膜样腺癌伴局部肉瘤样分化并大片坏死,癌组织侵犯宫颈间质、部分膀胱,穿透子宫肌层;宫颈高级别上皮内病变并累及腺体,可见髂总及腹主动脉胖淋巴结转移2枚。王女士虽有肿瘤的转移,分期较晚,但结合基因检测分型结果,可以接受免疫的治疗,可延长生存期,肿瘤预后相对良好。

在医护人员的精心护理下,王女士积极接受对症治疗。医护人员按时为其拔除胃管及尿管,密切观察胃肠道及膀胱功能恢复情况,并对伤口进行精心护理。令人欣慰的是,王女士的胃肠道及膀胱功能恢复良好,伤口愈合良好,目前已顺利出院。
近年来,子宫内膜癌分子分型被越来越多的提及,POLE突变型子宫内膜癌患者发生率占所有子宫内膜癌患者的7%,有研究显示,该型如果早期发现,治愈率达75%,即使复发一般也不会发生死亡。早发现、早诊断、早治疗在疾病的预后中具有十分重要的地位。
此次巨大腹主动脉旁转移淋巴结切除术的成功,是我院妇科医疗团队团结协作、勇攀医学高峰的结果。不仅为患者减轻了肿瘤负荷,大大改善了预后,也进一步推动了科室在妇科恶性肿瘤治疗领域的探索。未来,妇科将继续秉承“以患者为中心”的服务理念,不断提高医疗技术水平,为更多的患者带来健康和希望。
二一五医院妇科是医院重点专科,是陕西省妇产专科联盟成员单位、西北宫腔镜专科联盟医院、子宫内膜异位症诊疗一体化合作单位。科室开设床位40张,现有医护人员30余人,其中主任医师3名,副主任医师3名,主治医师4名,住院医师2名,副主任护师1名,主管护师6名,护师7名。近年来,科室重视新技术、新理念的引进,开展新技术8项,获省级科技进步奖2项,市级进步奖3项,在核心期刊发表论文18篇,SCI4篇。