近日,陕西省核工业二一五医院咸阳骨科医院脊柱脊髓外科顺利完成两例“显微镜辅助下颈前路椎间盘切除减压植骨融合+颈椎前路椎体次全切减压植骨融合术”,即ACDF+ACCF混合式减压技术,成功治愈两位严重脊髓型颈椎病患者,该手术是骨科难度系数最高的四级手术之一,标志着我院在脊柱微创技术领域再次走在了省市前列,迈上新台阶。
两位患者的病情与经历大致相似,多年来,均饱受颈椎病痛折磨,但由于惧怕手术,一直采取药物治疗,效果并不佳,并且随着时间的推移,先后出现运动、感觉障碍,步态不稳,双足有踩棉花感,双手精细动作基本丧失等症状且愈发严重,导致生活自理能力大大降低,严重影响生活质量。一次偶然的机会,两位患者通过不同渠道了解到,二一五医院脊柱脊髓外科能通过微创手术解决困扰多年的颈椎病,不仅创伤小,恢复快,效果也很显著。为改善不适症状,寻求进一步治疗,两位患者不约而同慕名来到了二一五医院咸阳骨科医院脊柱脊髓外科。
病例1术前

病例2术前

入院后,磁共振显示多节段椎间盘突出伴多发椎体后缘骨赘,综合病史、症状、体征及影像学检查结果,陈尚军主任诊断两位患者为脊髓型颈椎病,要想改善目前的不适症状,必须进行手术治疗。“手术需要在减压充分的同时恢复颈椎生理曲度,如单纯行ACDF减压效果不理想,分次手术增加患者经济负担,最理想的方式应该是ACDF+ACCF混合式减压术。”在多次科室讨论后,陈尚军主任团队为患者制定了最合理、经济的治疗方案。
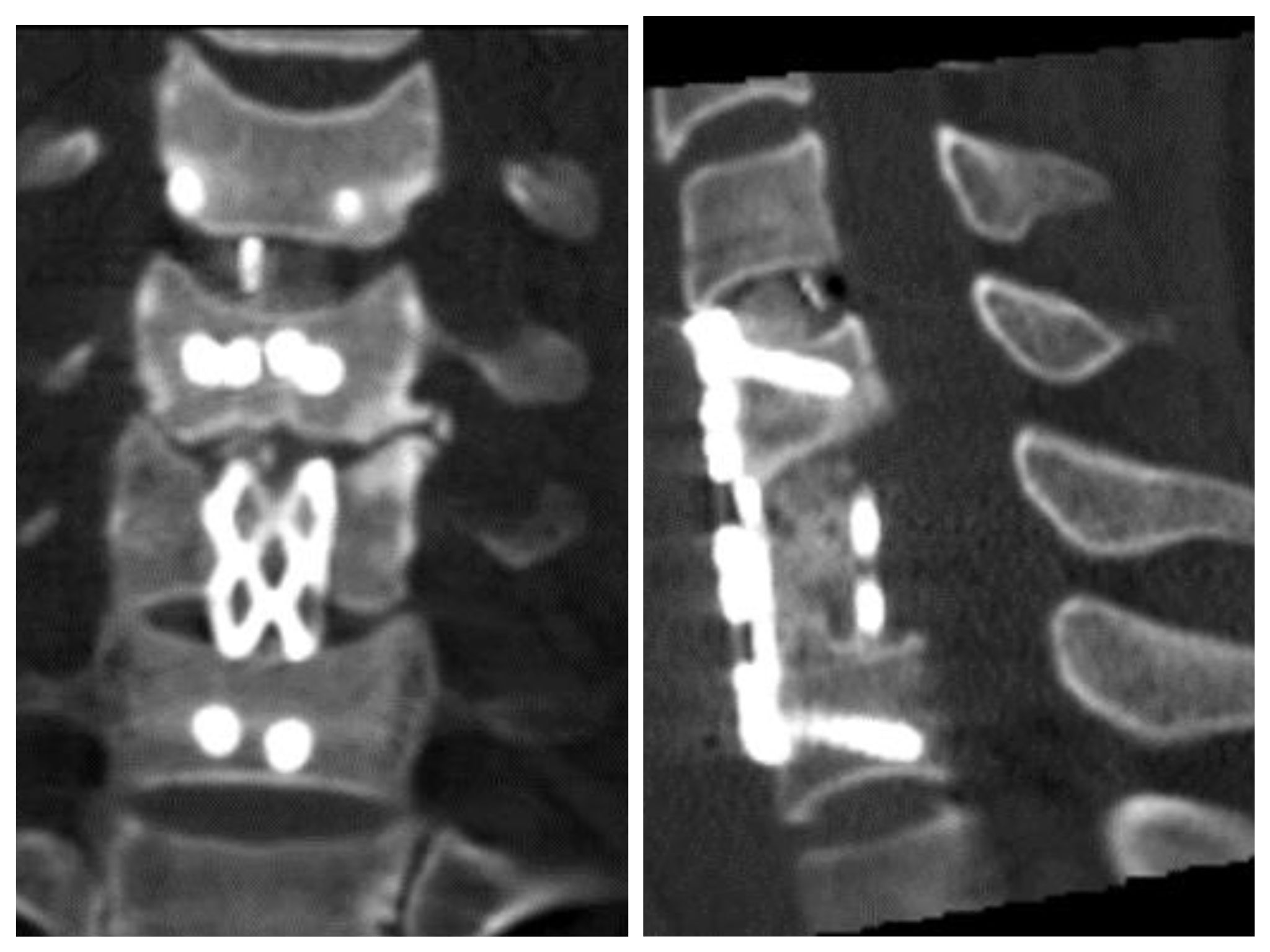
病例1术后

ACCF+长节段ACDF
病例2术后

ACCF+ACDF(Zero-p)
手术进行前,陈主任为患者及家属详细介绍了手术方案,并与手术麻醉科进行了充分的术前讨论。在一切准备就绪后,陈尚军主任团队先后为两位患者在全麻下进行了ACDF+ACCF混合式减压术,两例手术均在3小时内顺利完成。术后,经过科室团队悉心治疗与护理,两位患者术后均恢复良好,四肢肌力、感觉较前有明显好转,全身紧束感、踩棉花感消失,生活质量大大提高,目前已康复出院。

颈前路手术操作复杂风险很大,术后并发症发生率较高,是骨科难度系数最高的四级手术之一。近年来,颈椎病的发病率逐年增高,其手术治疗也日益受到重视,其中颈椎微创手术已成为治疗颈椎病的重要手段。二一五医院咸阳骨科医院脊柱脊髓外科采用显微镜辅助下颈前路融合减压手术为患者快速解除病痛,减少手术创伤,更加符合加速康复外科(ERAS)理念,能够有效缩短住院时间,降低住院费用,减轻患者痛苦,加速患者康复。此次手术的成功是脊柱脊髓外科团队积极探索优化诊疗方案的重要措施,更体现了一切以患者为中心的服务理念。

陕西省核工业二一五医院脊柱脊髓外科是咸阳骨科医院八大科室之一,是咸阳地区唯一、陕西省最大的脊柱脊髓专科,科室人员由精通神经显微操作的神经外科医生,和擅长脊柱固定融合的骨科医生强强联合组成。科室目前重点开展颅颈交接区畸形、小脑扁桃体下疝畸形、脊髓空洞、髓内肿瘤 、椎管内肿瘤,脊髓栓系,椎间孔镜下,颈腰椎间盘突出微创治疗 、椎体融合固定、腰椎管狭窄的微创治疗、椎体骨质疏松性病理性骨折的微创治疗,以及各种脊柱脊髓疾病的微创治疗,均处于咸阳地区领先水平。