陕西省核工业二一五医院神经重症监护室作为咸阳市“数字神经外科与人工智能创新研究团队”,着眼神经外科临床疑难问题,不断深入研究探索,已相继开展虚拟现实技术、低成本增强现实技术、3D打印技术及医学影像数字化处理技术,为临床医疗提供多模态评估、颅内病变定位、手术过程模拟等重要辅助。 2021年4月25日,在肖三潮主任医师指导下,神经外科重症监护室谢国强副主任医师及肖学谦副主任医师成功应用3D打印技术,为患有颅内肿瘤的70岁男性患者陈某,规划了个体化手术方案,精确定位肿瘤部位,同期行颅骨缺损修补,大大降低了患者医疗花费,也完全避免了二次手术风险。
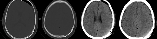
头颅CT检查:

三维重建可见明显颅骨破坏区域

按照常规手术方法,先行肿瘤切除,根据颅骨及硬膜受侵蚀范围切除部分颅骨,待病情稳定后再行颅骨缺损修补手术,患者需要再次经受开颅手术,同时医疗花费大幅度增加。

神经重症监护室在肖三潮主任医师指导下,全方位分析患者病情,利用在医学影像数据化处理方面的技术优势,为患者制定了个体化手术方案:术前模拟切除受侵犯颅骨。


同时,根据模拟颅骨缺损范围,设计并制作3D打印模型,运用3D打印支架精确定位肿瘤部位及手术切口。

术中可见肿瘤组织位于切口中心,予以完整切除并修补硬膜缺损。根据3D打印支架形态,个体化设计钛网材料行颅骨缺损修补术后复查头颅CT,左顶部肿瘤全切除,左顶部颅骨缺损一期钛网修补完好。
术前及术后颅骨三维重建对比


此项3D打印技术不仅可以辅助术前肿瘤精确定位,减少术中损伤,同时可根据术前模型设计,个体化制作修补材料形态,避免了二次修补手术的风险,降低了术后并发症的发生。

陕西省核工业二一五医院神经外科重症监护室始终秉承“全心全意为患者服务”的工作宗旨和“以尽可能小的创伤换取治愈或缓解疾病”的微创理念,已相继开展高血压脑出血、脑垂体瘤、脑积水的神经内镜微创治疗,以期为临床患者制定个体化诊疗方案、解除神经系统疾病困扰。