樊先生今年34岁, 家在永寿县店头镇, 因胸背部疼痛不适辗转于当地多家医院,后确诊为脊柱结核,未规律服药,胸背部疼痛愈加严重,甚至不能站立和行走。经介绍,前不久,樊先生专程来到二一五医院骨科医院脊柱外科许立新主任处就诊。
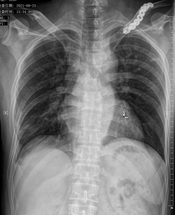
接诊后,许主任为樊先生进行了详细的检查,影像学检查提示脊柱结核破坏多个椎体,同时胸5-8椎体出现病理性骨折,椎旁脓肿,死骨形成,而樊先生既往有结核性胸膜炎,存在胸膜粘连,开胸入路时有胸膜破裂可能。许主任团队进行详细的术前检查评估及讨论,制定严谨的手术计划。术前抗结核治疗2周,复查血沉等正常后进行手术。手术虽然复杂,在手麻科的大力配合下,许主任手术团队沉着冷静,术中先俯卧位,微创(肌间隙)入路行胸5、6、9、10双侧椎弓根钉置入,连接棒固定,增强脊柱稳定性。后右侧卧位,改良小切口于病变节段开胸,截取相应节段肋骨备用,适当修剪肋骨条后,打压植入病灶,起到支撑融合作用。
手术顺利,术后1周,樊先生便可下床行走,胸背部疼痛明显缓解,无神经损伤症状,复查X片提示内固定位置好。术后2周恢复良好,拆线出院。术后1月,复查胸背部无明显不适,复查血沉均在正常范围,樊先生感叹道:“我都没想到我能恢复这么快!”12月6号,樊先生和家属特地送来两面锦旗,表达对脊柱外科许立新主任团队的感激之情。


脊柱结核是最常见的肺外继发结核,脊柱结核早期以抗结核药物治疗为主,当出现死骨、脓肿、窦道及神经症状时需要手术治疗,手术目的清创病灶及脊柱功能重建。二一五医院骨科医院脊柱外科目前脊柱结核手术量达百台以上,在脊柱结核诊治上累及了丰富的经验。
陕西省核工业二一五医院脊柱外科(骨三科),成立于2002年10月,是陕西省骨科重点专科,咸阳市骨科基层医师培训基地,咸阳市骨科技术创新团队,3D打印骨科实验室。科室许立新主任医师带领下,开展多项新技术填补了市内空白,达到省内领先水平,目前熟练开展胸、腰椎PVP/PKP,脊柱内镜下椎板间入路,椎间孔入路下治疗腰椎间盘突出、椎管狭窄等疾病。科室年手术量约1100余台,其中脊柱微创手术约200台。其中,费国策副主任医师团队擅长脊柱微创手术,张勇鹏副主任医师在解放军总医院脊柱中心学成归来,带回了国际及国内脊柱微创领域最新理念及技术,使科室脊柱领域尤其是脊柱微创方面再上一个台阶。